La Gonarthrose (ou arthrose du genou)
Définition
La gonarthrose consiste en une usure du cartilage au niveau du genou. C’est en général une maladie de la personne âgée. Actuellement, de plus en plus de patients jeunes et actifs sont exposés à ce type de maladie (activités sportives, anciennes opérations, etc).
Symptomatologie
L’arthrose se manifeste essentiellement par des douleurs et des gonflements entrainant une diminution de la mobilité et de la qualité de vie. Le patient a de plus en plus de difficultés à réaliser ses activités sportives (marche, golf, ski, etc.) jusqu’à limiter son activité au quotidien (limitation du périmètre de marche).
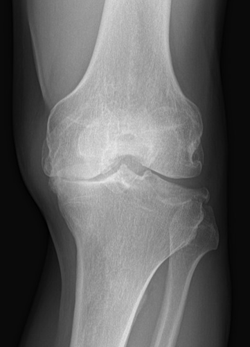
Causes et diagnostic d’arthrose
La génétique, l’obésité, les défauts d’axe du membre, les instabilités chroniques, les traumatismes et les antécédents de méniscectomie sont tous des facteurs favorisant le développement de l’arthrose. En effet le ménisque est un amortisseur du genou. Sans celui-ci, l’arthrose évolue plus rapidement.
Diagnostic
Le bilan comprend des radiographies standards en charge, une goniométrie pour mesurer l’axe mécanique.
Eventuellement un arthroscanner ou IRM afin de cartographier votre arthrose.
Avec ces examens, on peut ainsi prévoir un traitement sur mesure de l’arthrose.
Traitement conservateur ou contrôle de la douleur
Le traitement conservateur comprend de la kinésithérapie de renforcement, des semelles de décharge, des antalgiques, des vitamines de supplémentation, un éventuel régime alimentaire et des injections d’acide hyaluronique ou de PRP. Parfois même une attelle articulée. Ce traitement vise à contrôler la douleur et améliorer la qualité de vie.
Aucun traitement actuel ne permet de régénérer le cartilage.
Les précautions préopératoires
Afin de minimiser les risques de complication per et postopératoire, vous pouvez prendre certaines dispositions en vue de limiter les facteurs de risque
Facteurs de risque modifiables :
- 1 Tabac : stop 4 semaines avant l’intervention et prise de patch.
- 2 Anémie : En cas de globules rouges trop bas, il faut en trouver l’origine et la corriger via le Médecin Traitant. S’il n’y a pas d’origine avérée, alors on donnera en préopératoire du Folavit, de la vitamine B12 et du losferron
- 3 Alcool ou Drogues : stopper en préopératoire
- 4 Obésité importante avec un BMI (body mass index) > 40 : un régime est à prévoir. De plus il faudra attendre un délai de >6 mois après la perte de poids. En effet un patient en régime est un patient dénutri et donc plus à risque d’infection
- 5 Diabète mal contrôlé (HBc >8) devra être contrôlé avant la chirurgie via de l’insuline.
- 6 Dénutrition : les critères d’évaluation de la dénutrition sont: Lymphocytes <1500; Albumine <3,5 ; Transferrine <200. Ils devront être corrigés avant une intervention.
- 7 Arthroscopie doit faire retarder une intervention de prothèse de plus de 6mois.
- 8 MRSA porteurs (= staphylocoque doré multi-résistant). Les patients ayant eu un séjour en Soins intensifs ou vivant dans une maison de repos sont plus à risque d’être porteurs. Si si les frottis sont positifs Mupirocin 2x 5j et Chlorexidine + vancomycine.
- 9 Immunosuppression : HIV, Hépatite C, traitement par Ledertrexate.
- 10Toute infiltration (dépomédrol ou acide hyaluronique) postposera de 3 mois une chirurgie prothétique.
En fonction de vos antécédents et de votre âge, différents examens préopératoires vous seront demandés (avis cardiologique, prise de sang, radiographie du thorax...). Si vous les faites à l’extérieur de l’institution, veillez à ce qu’ils nous soient transmis par courrier ou par e-mail.
Précautions à prendre avant une intervention prothèse
- Pas de soin dentaire invasif
- Pas de soin de pédicure
- Pas de traitement antibiotique
En cas d’urgence dans ces domaines, il vous faut nous avertir et le cas échéant potentiellement reporter la date d’intervention afin de garantir un minimum de risques infectieux
Autres conseils
Ceux-ci vous permettront d’aborder l’intervention dans de meilleures conditions.
- Manger équilibré et faire du vélo d’appartement.
- Diminuer au maximum les assuétudes (alcool et tabac).
- Ne pas fumer le jour de l’intervention.
- Prendre votre douche décontaminante au savon isobétadine.
- Descendre au bloc opératoire avec des sous-vêtements propres.
Faites attention à bien respecter les délais d’arrêt de vos médicaments et les remplacer le cas échant.
- Glucophage - Metformax : 48h avant (+/- relais insuline)
- Xarelto : 3 jours + relais par injection
- Plavix - Clopidogrel : 3 jours + relais par injection
- Eliquis : 5 jours + relais par injection
- Sintrom : 5 jours + relais par injection
ASPIRINE / ASAFLOW ne doit pas être arrêté avant l’intervention.
Ceci ne constitue pas un risque pour l’intervention ou les suites post-opératoires.
Le postopératoire
Les consultations
Vous aurez un suivi à :
- 3 semaines pour ablation des agrafes et contrôle des plaies ainsi qu’une radiographie préalablement.
- 6 semaines pour contrôle clinique.
- 3 mois avec Rx et goniométrie.
- 1 an avec Rx de contrôle.
Chez les patients jeunes, un contrôle ensuite tous les 5 ans est requis afin de contrôler l’usure éventuelle de la prothèse.
La cicatrice
La plaie est fermée à l’aide d’agrafes. Au moins vous toucher au pansement au mieux c’est pour votre cicatrice. Le maintien de la stérilité est primordial. Les bains sont interdits et les douches sont déconseillées même s’il existe des pansements hermétiques pour la douche. Toute plaie mouillée est à haut risque d’infection!
La jambe va gonfler et des hématomes vont s’extérioriser
Pour dégonfler la jambe, nous vous conseillons de :
- Surélever la jambe.
- Stimuler le mollet pour activer le drainage.
- Se mobiliser.
- Faire du drainage veineux avec le kinésithérapeute (massage).
- Prendre du Daflon 2x 2co/jour.
Les signes cliniques qui doivent vous faire réagir
Douleur importante dans le mollet ne passant pas avec les simples antidouleurs. Il faut exclure une phlébite (caillot sanguin). Il est nécessaire de faire une échographie-doppler afin de confirmer le diagnostic et d’adapter le traitement anticoagulant.
Fièvre (>38°C) : cette hausse de température peut être due à une résorption de l’hématome mais aussi à une infection par une bactérie (fréquence < 1%). En cas de suspicion d’infection,ne pas prendre d’antibiotique via le médecin traitant ! Les antibiotiques masquent la bactérie dans les futurs tests et nous empêchent de pouvoir cibler correctement le microbe responsable.
Ecoulement important des plaies : il faut exclure un hématome ou une infection
Dans ces trois cas de figure il est impératif d’être revu par votre chirurgien ou l’équipe chirurgicale dans le cas où il serait absent. Ceci permettra de réaliser la meilleure prise en charge :
Soit de vous rassurer sur la conduite à tenir,
Soit de mettre en place le traitement adapté au plus vite après avoir réalisé les examens complémentaires nécessaires.
La Rééducation
La rééducation avec notre équipe de kiné commence le lendemain de l’opération par des massages et un premier lever avec rolator ou sans rien.
Les objectifs à atteindre avant la sortie :
- Marcher sans canne béquille.
- Monter et descendre des escalirs de manière autonome
- Avoir une flexion de >90°
- Avoir une extension complète de la jambe.
A votre retour à domicile, vous serez suivi par votre kinésithérapeute (à prévoir avant l’intervention). Cette kinésithérapie se fera à raison de 5x/semaine durant les 6 premières semaines et ensuite 3x/semaine.
Vous avez droit dans le cadre de votre intervention à 60 séances au total prises en charge par l’INAMI.
Pour une rééducation optimale, il est clair que ce n’est pas uniquement le kiné qui travaille mais VOUS aussi par des exercices à réaliser au quotidien.
Les médications à prendre
Il est important de suivre le programme antalgique afin de contrôler suffisamment la douleur à domicile et de favoriser une récupération plus rapide.
- Diclofénac 75mg retard 2x/j ou Celebrex 200mg 2x(si tendance à l’ulcère gastrique)
- Dafalgan forte 1g : 3-4x /J
- Daflon : 2co 2x/J
- Fraxiparine/Clexane durant 20 jours
A 3 semaines, on stoppe la prise d’AINS (Diclofénac/Celebrex) et le Tradonal retard. Il faut savoir que la prise de morphiniques ou dérivés peut engendrer une accoutumance et favoriser les douleurs chroniques.
Questions souvent posées
- Douleur : la douleur après la chirurgie est normale et variable d’une personne à l’autre. Un schéma antalgique est prescrit pour combattre la douleur qui peut être intense les 3 premières semaines et souvent nocturne liée à l’inflammation.
- Gonflement : il est lié aux hématomes postopératoires. Si la jambe entière est gonflée, c’est du à l’intervention et à une insuffisance veineuse. Ce gonflement prendra plusieurs mois à disparaître. Des médications type Daflon et des bas de contention pourraient être prescrits en postopératoire. La glace, une kiné de drainage veineux et surélever la jambe permettent d’améliorer la symptomatologie.
- Plaie et pansement : la plaie peut suinter sans risque. Trop de désinfections augmentent le risque de contamination de la plaie. Au moins on change le pansement au mieux c’est!
Éviter tout contact avec de l’humidité. Le risque est l’infection!
- Constipation : La chirurgie, l’anesthésie et surtout les médicaments peuvent entrainer de la constipation.
- Insomnie : est classique lors du début de la rééducation. La marche peut faire diminuer les plaintes ainsi que la prise d’antalgique.
- Chaleur : le genou peut rester chaud pendant 3 mois après l’intervention. Le glaçage soulage.
- Les bruits : Le contact entre le plastique et le métal peut engendrer des bruits. Ne vous inquiétez pas. Ce bruit disparaîtra avec le temps.
- La durée de vie de l’implant : taux de survie des grandes séries montrent 85-90% taux de survie à 20 ans de l’intervention.
- L’anesthésie ou hypersensibilité de la peau : en effet, l’incision engendre la section de quelques nerfs cutanés. Si des brûlures sont invalidantes, on vous prescrira des patch de Versatis afin de les contrôler.
Concernant la vie quotidienne
- Se mettre à genoux : après 3 mois, il est permis de se mettre à genoux mais peu de gens y arrivent car cette position reste très inconfortable.
- Nager : vous pouvez nager dès que la plaie est complètement guérie et sans la moindre croûte. Il faut souvent compter 6 semaines.
- Vélo à l’extérieur : la reprise est fonction de la récupération de l’amplitude, de la force musculaire et de l’équilibre.
- Conduire la voiture : Pas avant 3 semaines pour que la douleur soit sous contrôle et que vous ayez suffisamment de force pour contrôler votre véhicule.
- Aéroport : Vous allez très probablement sonner au portique des aéroports. On vous fournira une attestation de port de prothèse.
Vigilance en cas de traitement dentaire, colonoscopie ou gastroscopie.
Vous devrez prendre un
antibiotique préventif.
Parlez de votre prothèse au médecin et dentiste concernés.